19 januari 2026 om 14:57
< 1 min lezen

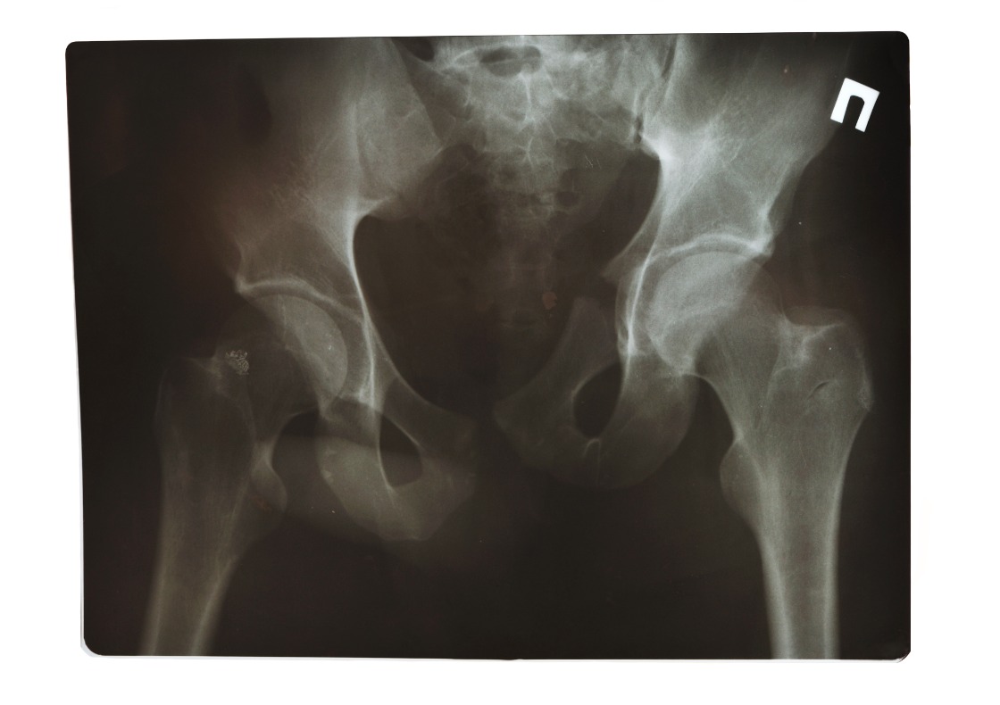
Wereldwijde primeur voor Anna Ziekenhuis met 3-D geprinte heupimplantaat

Door: Nationale Zorggids / Johanne Levinsky

Het Anna Ziekenhuis in Geldrop heeft een wereldwijde primeur te pakken. De zorginstelling heeft als eerste ooit een 3D-geprinte heupimplantaat bij een mens geplaatst. Heupspecialist en orthopedisch chirurg Rintje Agricola voerde de operatie uit en deed dit samen met het Leids Universitair Medisch Centrum (LUMC). Dit meldt het LUMC.

De nieuwe behandeling is nog geen standaard onderdeel in de zorg, maar kan op termijn voorkomen dat patiënten met heupdysplasie een zware operatie moeten ondergaan. Deze patiënten hebben een afwijkend gevormde heupkom, waardoor de kop van de heup niet goed wordt ondersteund in het gewricht. Zij hebben vaak last van pijn, instabiliteit en mobiliteitsproblemen. Worden zij niet behandeld, kunnen vroegtijdige slijtage ontstaan en op vroege leeftijd een kunstheup nodig zijn. Momenteel moeten zij een heftige operatie ondergaan, waarbij chirurgen het bekken losmaken en opnieuw een plek geven. Patiënten moeten lang herstellen en kunnen dan maar weinig.

Diergeneeskunde

In de diergeneeskunde maakt men al langer gebruik van een op maat gemaakte 3D-geprinte implantaat voor honden. Met resultaat: de dieren genezen sneller, zijn mobieler en hebben minder pijnklachten. Daarom is de behandeling nu vertaald naar de mens. In het Anna Ziekenhuis vindt nu een safety-trial plaats, om te onderzoeken of deze veilig en technisch uitvoerbaar is. Een kleine groep patiënten wordt uitgekozen voor de behandeling.

“Met deze techniek hopen we patiënten een minder ingrijpende behandeling te bieden. Ons streven is om hun mobiliteit en kwaliteit van leven te verbeteren, terwijl we de noodzaak van een kunstheup zo lang mogelijk uitstellen.” Vervolgonderzoek moet aantonen welke patiënten hier het meeste baat bij hebben.

Relevante artikelen

Alles van ziekenhuizen
    • Ziekenhuizen

    Anna Ziekenhuis opent gespecialiseerde afdeling voor ouderen met botbreuken

    5 december 2025 om 14:40
    • Ziekenhuizen

    Lichte heupdysplasie geneest in de meeste gevallen vanzelf

    12 augustus 2025 om 13:06

Aankomende evenementen

08 Mar
Café Doodgewoon
  • Noord-Brabant
09 Mar
Basis workshop Peristomale huidproblemen
  • Utrecht
10 Mar
Het Luchtmoment
  • Noord-Brabant
15 Mar
Congres Samen voor Gezondheid, Zorg en Welzijn
  • Utrecht